
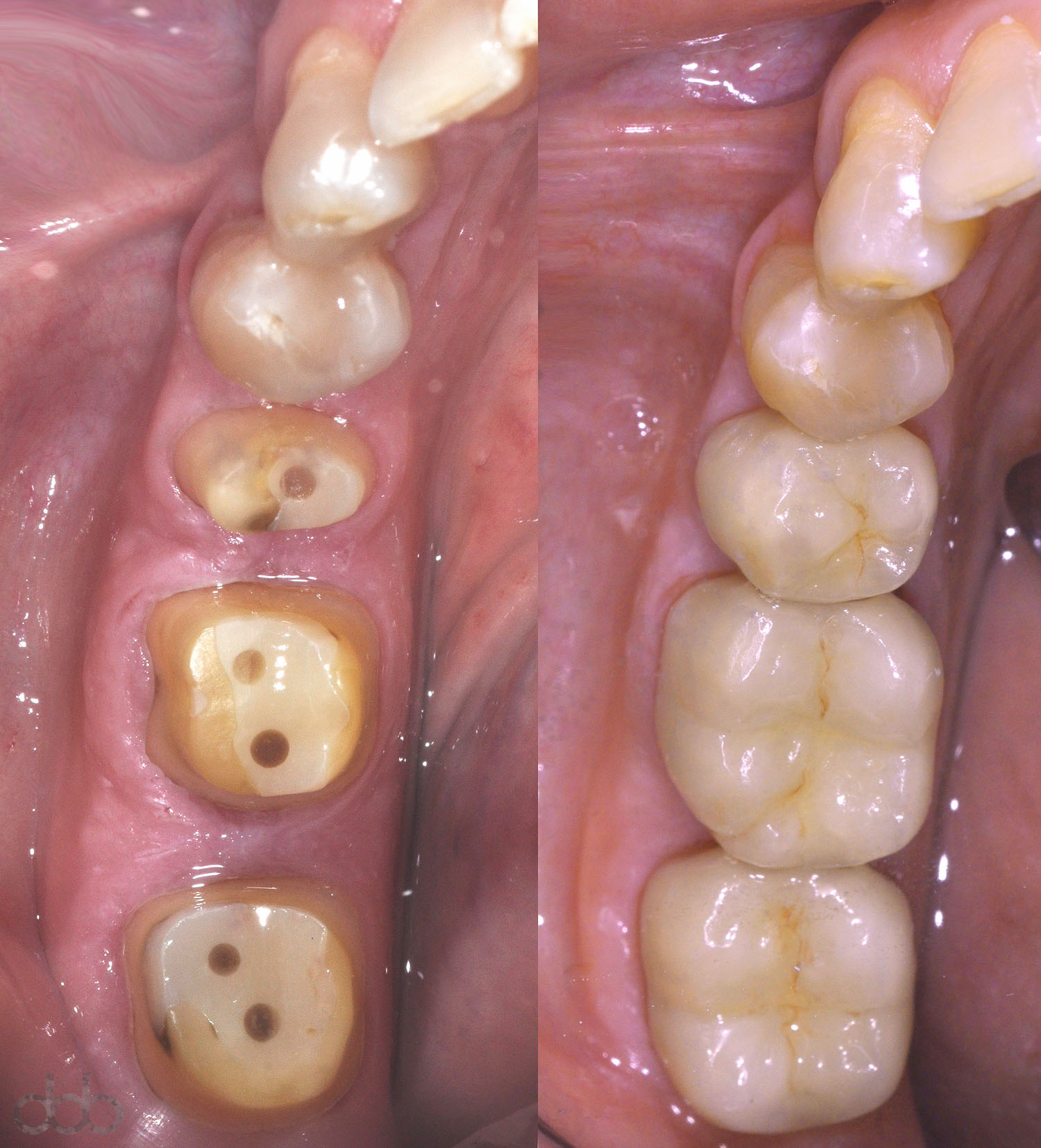
Couronnes et bridges
Une couronne dentaire est une prothèse sur mesure qui vient coiffer la dent à soigner afin de restaurer sa forme naturelle. Elles sont utiles dans les cas où une partie considérable de la structure dentaire est endommagée et lorsque les procédures de collage ne sont pas réalisables.
Une couronne dentaire est indiquée lorsque l’intégrité d’une dent est compromise par une perte tissulaire très importante.
La couronne dentaire est une prothèse sur mesure qui vient “coiffer” la dent à soigner afin de lui rendre sa forme (pour sa fonction et l’esthétique).
Les couronnes dentaires sont utilisées pour restaurer la partie visible des dents naturelles mais également des implants. Elles peuvent être faites avec différents matériaux tels que le métal, la céramique ou la résine (composite), parfois combinés.
Aujourd’hui pour des raisons esthétiques et biologiques, les couronnes en céramique sont les plus utilisées.
La pose d’une couronne en bouche nécessite au minimum deux rendez-vous. Le premier consiste à préparer la dent et à réaliser une empreinte à partir de laquelle un prothésiste dentaire (technicien) va pouvoir réaliser la couronne. Au second rendez-vous la nouvelle couronne peut être placée en bouche.
Nos réalisations en matière de couronnes peuvent être visualisées dans la gallérie de sourires de Dental Office Brussels.